- 活动公告更多>>
-
- 警惕医托!一封患者和家属必读的信 05-20
- 8万人患病 6万不自知 09-29
- 过年催结婚 当心出癔症 02-11
- 用心思考,带思想来工作 10-13
- 人体重要的内分泌器官——甲状腺 09-06
- 简述单纯性疱疹病毒 06-24
- 典型案例更多>>
作者: 时间:2020-12-08 编辑:lsw 点击次数:8409
结核性脑膜炎是肺外结核中的一种严重类型,临床上主要通过脑脊液检查和病原学检查来进行诊断,但脑脊液在早期可没有显示特征性变化,而脑脊液涂片检出或者培养分离出结核分枝杆菌虽是确诊的金标准,但阳性率极低,所以在早期容易漏诊和误诊,尤其在结核症状不明显或是有其他干扰因素的时候。
近期到我科住院治疗的张老先生,就因为其他并发症状而掩盖了结核性脑膜炎的表现,所幸在我们医务人员的反复耐心检查下,通过少量线索抽丝剥茧,最终得以确诊,并且为后续的治疗打下良好的基础。
起病经过
发病时张老先生就在地里干农活,在没来由的感到一阵剧烈的撕裂样头痛之后,就晕倒在田地中,等醒来后就感觉自己的左手左脚没有力气,已经无法抬起。惊恐之下,张老先生抬起还有一些力气的右手,从身上掏出手机打电话给自己的家人。看到手机上显示的时间,张老先生才知道自己已经昏迷了一个多小时。此时他身上已经被泥浆给浸湿,而周围大片农田中只有他自己一个人。
治疗过程
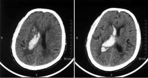
送到当地医院已经是数个小时之后的事情,急诊进行头颅CT检查,发现右侧基底节区脑出血并破入脑室。急诊进行降颅压等对症处理之后,随后几天即按脑出血进行保守治疗,但是情况并没有明显好转。在当地医生的建议下,家属将张老先生转运到广东三九脑科医院做进一步治疗。

转运到我院后,结合张老先生的发病情况和治疗效果,主管医生匡祖颖主治医生分析,张老先生此次发病的主要症状为脑出血导致,但按脑出血常规治疗却没有让张老先生明显获益,不排除在脑出血之外,还合并其他疾病的可能,所以一方面采用脱水降颅压、改善循环、控制血压等对症支持治疗方案,另一方面继续完善相关检查,以探究张老先生此次发病的具体病因,从而更好的对症治疗。
疾病探索
详细翻阅了张老先生过往的病历资料,除了发现既往有高血压和一次脑中风病史之外,就没有找到其他有价值的线索,似乎对病因的探索就只能到此为止。但入院后的头颅核磁显示张老先生的颅脑软脑膜有强化的征象,如果是颅内感染引起的话,则还需要有其他检查结果加以佐证。考虑到此次脑出血已经入侵脑室,需要进行脑脊液置换,不妨在这个过程中同时完善脑脊液检查,挖掘出更多有价值的信息。
第一次为张老先生进行腰椎穿刺检查,流出的脑脊液还是铁锈色,压力较正常值明显增高。从这一次的检查结果中,可以看出白细胞数明显增高,已经可以提示张老先生除了脑出血之外,还合并有感染。但因为混杂了血液的缘故,不可避免的会掩盖脑脊液原来的特性,从而无法明确是哪一种感染的类型。在这样的考量下,还需要继续动态复查脑脊液。

异常脑脊液细胞学,呈混合细胞反应型,以中性粒细胞为主,偶见浆细胞及红细胞吞噬细胞,伴有大量红细胞
后续两次复查脑脊液,仍然提示腰穿压力高、白细胞数量高,而且有蛋白含量高、糖含量低的特点,虽然氯含量未低于临界值,但应为利用生理盐水行脑脊液置换术的原因。综合病史与检查结果,所有线索都指向了脑出血合并结核性脑膜炎的可能。
回溯张老先生病情的发展,不排除就是因为结核性脑膜炎引起血管炎,在病情的继续进展下,才最终发展为脑出血。
在这样的考量下,给张老先生加用异烟肼等抗结核药物,之后再复查脑脊液,白细胞已经开始明显减低,而且张老先生的症状比起之前也有了改善,说明治疗方案有效,并可以明确结核性脑膜炎的诊断。
结核性脑膜炎的脑脊液特征性变化主要为白细胞、蛋白升高,糖及氯化物减低,静置后标本表面可以形成蜘蛛网样的膜,但临床上早期可有不典型的表现。若是考虑为结核性脑膜炎,需要持续动态复查脑脊液。对高度怀疑结脑而又不能确诊的病例,应尽早进行诊断性抗结核治疗。
【神经内一科王展航主任点评】
结核性脑膜炎是由结核杆菌侵犯脑膜引起的非化脓性炎症,是结核病中最严重的一种,但临床上早期可有不典型的表现,特征性变化主要为脑脊液白细胞、蛋白升高,糖及氯化物减低,静置后标本表面可以形成蜘蛛网样的膜,若是考虑为结核性脑膜炎,需要持续动态复查脑脊液。对高度怀疑结脑而又不能确诊的病例,应尽早进行诊断性抗结核治疗。
治疗上以抗结核为主,用药遵循“早期、联合、规律、适量、全程”的原则,且应具有杀菌作用且能够通过血脑屏障的特点。通过鞘内注射异烟肼和地塞米松,可提高药物在脑脊液中的有效浓度,形成局部高浓度杀菌环境。同时,在给药过程中还可放出适量的脑脊液,亦是降低颅压,缓解患者头痛的有效措施。

王展航
医学硕士、主任医师、广东三九脑科医院院长助理、神经内一科科主任
现任中国康复医学会阿尔茨海默病与认知障碍康复专委会常委,中国医疗保健国际交流促进会认知障碍分会委员,广东省中西医结合学会神经科专委会常委,广东省医学会脑血管病分会委员,广东省康复学会神经康复专委会常委,广东省医师协会神经内科医师分会委员,广东省医学会罕见病分会委员,广东省医学会神经病学分会神经免疫学组副组长,广东省临床医学学会华南名医专委会会员,2019年度岭南名医。
从事神经内科临床工作20余年,具有丰富的临床经验,擅长脑血管病、神经系统感染及免疫疾病、神经系统变性疾病的诊治。
主持及参与国家级、省市级课题多项,获得省级科研成果1项,已发表论文60余篇,《中国神经精神疾病杂志》的审稿专家,参与主编《神经内科常见疾病诊断与治疗》,编写《神经遗传病学》第二版。
专业特长:
脑血管病的诊疗:急性脑梗死静脉溶栓支架取栓的评估,大面积脑梗死的救治,颅内血管狭窄的介入治疗评估。
脑炎的诊疗:自身免疫性脑炎及重症病毒性脑炎、结核性脑炎、隐球菌脑炎的救治。
神经免疫疾病:多发性硬化、视神经脊髓炎、急性播散性脑脊髓炎的诊治。
神经退化性疾病:痴呆,帕金森病,多系统萎缩的诊治。
儿童神经系统疾病:线粒体脑肌病、肌营养不良、共济失调、肝豆状核变性、脑白质营养不良,肌张力障碍的诊疗。
罕见病肌萎缩侧索硬化、重症肌无力、肌炎等。
熟悉肉毒毒素治疗面肌痉挛、肌张力障碍等。
