- 活动公告更多>>
-
- 警惕医托!一封患者和家属必读的信 05-20
- 8万人患病 6万不自知 09-29
- 过年催结婚 当心出癔症 02-11
- 用心思考,带思想来工作 10-13
- 人体重要的内分泌器官——甲状腺 09-06
- 简述单纯性疱疹病毒 06-24
- 典型案例更多>>
作者: 时间:2020-12-08 出处:神经内一科 编辑:lsw 点击次数:8223
从1913年德国眼科医生Wilhelm Grater证实疱疹具有传染性开始,人类已经陆续发现八种疱疹病毒家族成员可对人类致病,我们常听到的单纯疱疹病毒、EB病毒和水痘-带状疱疹病毒就包括在内。这八种不同的病毒感染人体后可以引起不同的疾病,且临床表各异,但这些疾病仍然具有共同的特点,即可以在感染后建立长期潜伏,并且能够在机体免疫低下时再次激活、致病。其中有一类病毒名为疱疹病毒5型,因其可以使被感染细胞肿胀、核增大,又被称为人巨细胞病毒(HCMV)。
虽然HCMV鲜有人知,但其实HCMV感染在临床上极为普遍,通常每10人中就有8到9人曾罹患感染,但这些感染者少有出现临床症状的,大多数人表现为无症状性感染或潜伏感染,少部分出现急性症状的患者多为中老年人或三岁以下幼儿,病变可累及消化系统、呼吸系统、血液系统、神经系统等。因这部分易感人群免疫低下,如果出现脑炎,更容易诱发神经性耳聋、癫痫等严重并发症,使病情复杂多变。
临床上遇到HCMV所致病毒性脑膜脑炎患者,需尽可能在发病早期进行病因治疗,排查并发症可能,避免疾病进展到顽固难治的阶段。
病例介绍
患儿袁某某,男,三岁,一个月前无明显诱因出现发热,家属代述夜间体温达峰值,最高约38.5摄氏度,期间间断性咳嗽,无腹泻、咳痰,后逐渐出现言语不能、行走困难,情绪烦躁、哭闹不止,并伴有阵发性双上肢强直、角弓反张。至当地医院就诊,以“脑炎”常规治疗后症状无改善。为进一步诊治,家属带患儿到广东三九脑科医院神经内一科住院治疗。
治疗过程
主管医生潘梦秋主治医生考虑患儿有前驱感染史,发病后言语不能、肢体活动障碍,查体:意识模糊、四肢肌张力增高、脑膜刺激阳性征。入院后联合MRI与视频脑电图等检查,辅助评估患儿脑组织损伤状况,并完善脑脊液病原微生物学检查,明确病因。
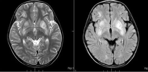
住院期间,我院头颅MR检查回报:双侧基底节区、双侧额叶及左侧颞顶叶多发病变,脑膜可疑强化。视频脑电图结果:1.背景节律异常;2.癫痫样放电,右侧中央区及CZ。

图 我院核磁检查影像

图 我院视频脑电图影像
结合检查结果,患儿脑电图有癫痫发电,但无临床发作事件,肢体阵发性强直及扭转痉挛考虑为基底节受累所致肌张力障碍,需早期病因、对症处理,避免疾病进展。
脑脊液病原微生物PMiD检测回报:人疱疹病毒5型(+)。考虑患儿具备活动性感染的病毒学证据,临床上具有HCMV相关表现,明确诊断为HCMV所致病毒性脑膜脑炎。
明确病因后,治疗上予以更昔洛韦抗病毒、免疫球蛋白冲击、激素调节免疫、丙戊酸钠稳定情绪,适当镇静减少消耗,氟哌啶醇片及安坦改善肌张力障碍,营养支持及康复等治疗。
临近出院时,患儿神志、语言功能明显改善,搀扶能行走,双手可持物,无肢体强直发作及扭转痉挛,并已于近期出院。
【神经内一科王展航主任点评】
疱疹病毒是引起病毒性脑膜脑炎的主要病原菌,但HCMV所致病毒性脑膜脑炎则较为罕见,多数HCMV携带者为长期带病毒状态,无明显临床症状,通常是当免疫功能下降时,HCMV才会被激活,并引发脑炎等疾病。而在脑炎的急性期,则可因为病原体毒素与代谢产物积聚等因素,导致神经细胞膜损害诱发癫痫发作,临床治愈难度较大。目前病毒性脑炎尚无特效疗法,临床一般多采用综合治疗,以抗病毒及对症支持治疗为主,减少并发症发生与进展,改善预后。

王展航
医学硕士、主任医师、广东三九脑科医院院长助理、神经内一科科主任
现任中国康复医学会阿尔茨海默病与认知障碍康复专委会常委,中国医疗保健国际交流促进会认知障碍分会委员,广东省中西医结合学会神经科专委会常委,广东省医学会脑血管病分会委员,广东省康复学会神经康复专委会常委,广东省医师协会神经内科医师分会委员,广东省医学会罕见病分会委员,广东省医学会神经病学分会神经免疫学组副组长,广东省临床医学学会华南名医专委会会员,2019年度岭南名医。
从事神经内科临床工作20余年,具有丰富的临床经验,擅长脑血管病、神经系统感染及免疫疾病、神经系统变性疾病的诊治。
主持及参与国家级、省市级课题多项,获得省级科研成果1项,已发表论文60余篇,《中国神经精神疾病杂志》的审稿专家,参与主编《神经内科常见疾病诊断与治疗》,编写《神经遗传病学》第二版。
专业特长:
脑血管病的诊疗:急性脑梗死静脉溶栓支架取栓的评估,大面积脑梗死的救治,颅内血管狭窄的介入治疗评估。
脑炎的诊疗:自身免疫性脑炎及重症病毒性脑炎、结核性脑炎、隐球菌脑炎的救治。
神经免疫疾病:多发性硬化、视神经脊髓炎、急性播散性脑脊髓炎的诊治。
神经退化性疾病:痴呆,帕金森病,多系统萎缩的诊治。
儿童神经系统疾病:线粒体脑肌病、肌营养不良、共济失调、肝豆状核变性、脑白质营养不良,肌张力障碍的诊疗。
罕见病肌萎缩侧索硬化、重症肌无力、肌炎等。
熟悉肉毒毒素治疗面肌痉挛、肌张力障碍等。
