http://www.999brain.com □文/神经外二科 曾永亲 林涛 韩汝锦 时间:2014-11-19 编辑:廖紫阳 阅读:3557

■ 术前
【病例摘要】
姓名梁某某,女,28岁,因反复头痛、发热11月余于2014年2月8日入院,2014年3月7日出院,共住院27天。
患者于2013年3月份开始无明显诱因出现头痛、发热,以全头痛为主,体温一般38℃左右,以上半夜发热为主,予对症治疗后发热头痛可好转,无恶心呕吐,无头晕,无视物旋转,无肢体乏力等,曾在当地医院住院,行腰穿检查提示脑脊液白细胞超过1000×106/L,糖、氯化物降低,蛋白高,诊断为“病毒性脑膜炎”,予更昔洛韦抗病毒等治疗,复查腰穿提示白细胞、蛋白下降,但仍不正常,症状缓解即出院,但出院后仍反复出现头痛、发热,此后曾两次到该医院住院,行头颅MRI平扫+增强未见明显异常,复查脑脊液提示白细胞高。为进一步诊断及治疗到我院就诊,门诊行腰穿检查未见异常,颅脑MRI平扫+增强提示垂体脓肿,遂收住院。
查体:体温36.5°C,心率76次/分,呼吸20次/分,血压92/62mmHg,心肺腹无明显异常体征。神志清晰,言语流利,查体配合。颈软,Kerning、Brudzinski征阴性。双侧瞳孔等大同圆,直接、间接对光反射灵敏,直径约:3mm。四肢肌张力正常,肌力5级。
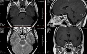
辅助检查:门诊脑脊液常规及生化未见异常;MRI平扫+增强示:1.鞍区囊性占位性病变,考虑垂体脓肿可能。行血常规、心功六项、凝血三项、肝功能、肾功能、传染病八项等均未见异常;内分泌:垂体催乳素(PRL)75.168ug/L。
诊断为:垂体脓肿。予抗感染治疗半月后复查颅脑MRI平扫+增强,提示病灶无明显改变,经家属同意。完善相关术前准备后于2月27日在全麻下行“经鼻蝶垂体脓肿切除术”,术中依据导航准确定位鞍底脓肿位置,切开脓肿壁可抽出量约5ml黄色脓液,双氧水清洗脓腔并开放脓肿腔引流,术程顺利,术后予止血、加强抗感染及营养支持等对症支持治疗;经治疗1周后头痛、发热症状消失,精神状况良好。
查体:神志清楚,对答切题,双侧瞳孔等圆等大,光反射灵敏,心肺腹均未见明显异常,四肢肌力5级,肌张力正常,生理反射存在,病理征阴性。

■ 术后
术后复查头颅CT、MRI示:呈术后改变,垂体脓肿消失。复查内分泌检查提示:皮质醇(COR)130.36pg/L,垂体催乳素(PRL)36.856ug/L。患者术后症状明显改善,内分泌症状改善,出院3个月后随访,患者未诉明显不适,一般情况好。
【专家点评】
垂体脓肿(pituitary abscess,PA) 相对少见。主要表现为压迫周围结构所致的头痛和视功能障碍等症状,可并发尿崩症、垂体功能低下,很少以炎症起病,且影像学表现缺乏特异性,手术前容易误诊。大多数的垂体脓肿是由近的蝶窦内感染直接蔓延所致,也有一些病例是由脑脊液感染所致,感染也可以是通过血行途径发生。垂体脓肿原发于正常的垂体组织,但大约I/3与鞍区病变 ,如垂体腺瘤、颅咽管瘤、Rahke’s囊肿的感染有关 ;也有少数病例发生在局部手术之后。垂体脓肿的临床表现大体可分为 3类:①垂体本身被破坏, 垂体功能受损的表现,多为闭经、泌乳、性功能减退、 甲状腺功能低下等;②垂体周围结构受侵犯的表现,常见视交叉受压引起视力视野障碍、 视神经乳头萎缩;③炎性非特异性表现,如头痛、发热等。当脑膜受侵时,临床可表现剧烈的头痛和其他的脑膜刺激症状。另外炎症波及到垂体柄或下丘脑可能是引起继发性中枢性尿崩症的原因Heary曾报道42%的垂体脓肿伴有中枢性尿崩,而垂体瘤有尿崩症状者仅为10%。鞍区囊性环形增强的占位性病变合并中枢性尿崩要考虑垂体脓肿的可能。治疗上多选择经蝶窦脓肿切除,可以缓解脓肿压迫所致的头痛,改善视力视野障碍及内分泌障碍,但脓肿破坏垂体组织所致的尿崩症、垂体功能低下,只能部分缓解或改善,仍需对症治疗, 对于复发病例仍可再次经蝶窦清除脓肿。
Copyright 2006-2026 广东三九脑科医院版权所有 粤ICP备11100995号 服务性质:非营利性网站 粤卫网审(2013)10号
粤公网安备 44011102002143号